Table of Contents
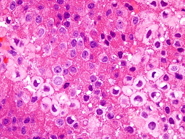
Washington University Experience | NEOPLASM (SELLAR) | Pituitary Adenoma - Pituitary Neuroendocrine Neoplasm | Corticotroph | 3A2 PR CH (Case 3) H&E 1
A subpopulation of tumor cells shows Crooke’s hyaline change. Mitoses are difficult to find and necrosis is not evident.
