Table of Contents
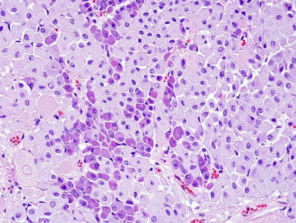
Washington University Experience | NEOPLASM (SELLAR) | Pituitary Adenoma - Pituitary Neuroendocrine Neoplasm | Gross Pathology | 10A3 Pituitary Adenoma (Zoo Case) H&E 5
Incorporation of "normal" pituitary acini at the tumor edge with the pituitary. (H&E)
