Table of Contents
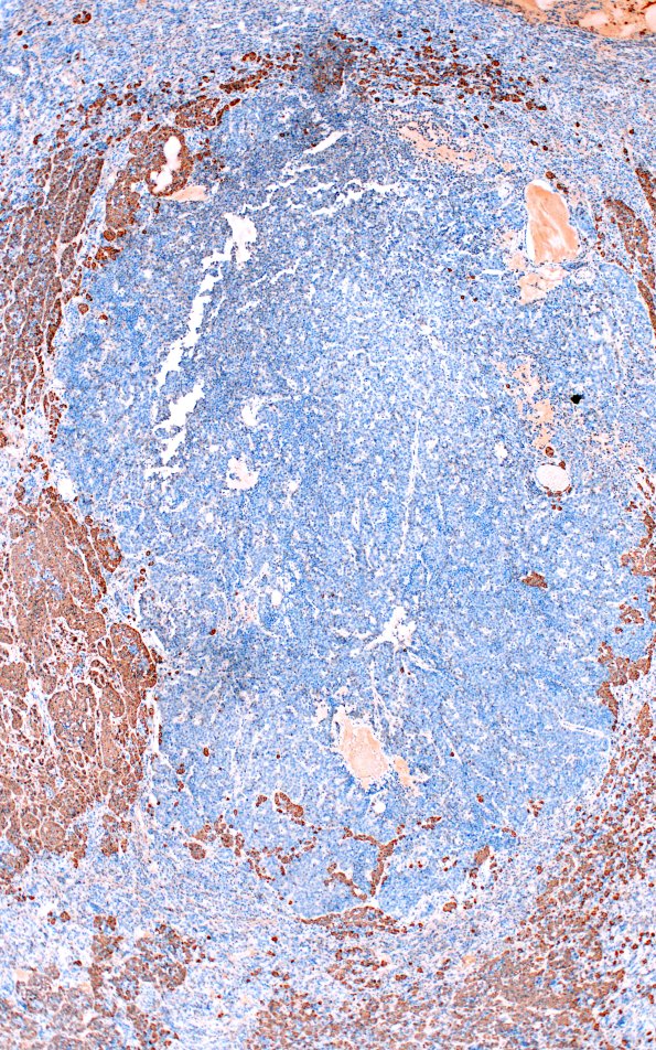
Washington University Experience | NEOPLASM (SELLAR) | Pituitary Adenoma - Pituitary Neuroendocrine Neoplasm | Multiple Microadenomas | 1E2 Multiple microadenomas (Case 1) 4X ACTH Area A
Microadenoma A shows no ACTH immunoreactivity. (ACTH IHC)
