Table of Contents
Washington University Experience | NEOPLASM (SELLAR) | Pituitary Adenoma - Pituitary Neuroendocrine Neoplasm | Plurihormonal | 11D2 PA, Pluri (Case 11) GH sparsely granulated 40X
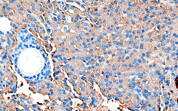
There is mild-to-moderate cytoplasmic reactivity for GH in most tumor cells. (GH IHC)
