Table of Contents
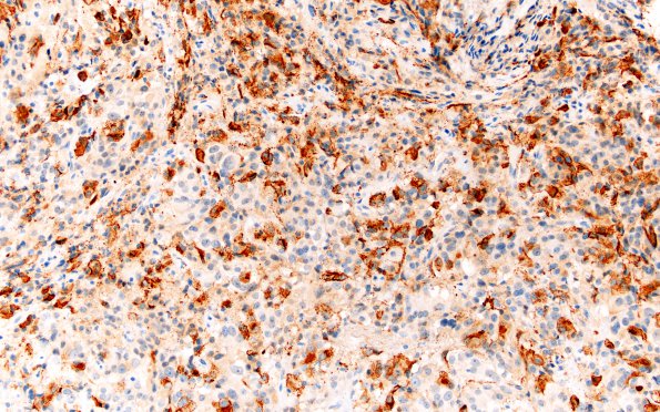
Washington University Experience | NEOPLASM (SELLAR) | Pituitary Adenoma - Pituitary Neuroendocrine Neoplasm | Plurihormonal | 2D2 Pluri (Case 2) PRL 20X
Immunohistochemical studies show many tumor cells to be strongly positive for prolactin. (PRL IHC)
