Table of Contents
Washington University Experience | NEOPLASM (SELLAR) | Pituitary Adenoma - Pituitary Neuroendocrine Neoplasm | Plurihormonal | 8C5 PA & GGL diffn (Case 8) Prolactin 40X 2
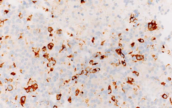
These stained cells are from the gangliocytic part of the specimen. Prolactin stains this group strongly but not every cell. The cells that stain have large, sometimes multiple nuclei, as well as copious cytoplasm in the cellular soma and labeled processes.
