Table of Contents
Washington University Experience | NEOPLASM (SELLAR) | Pituitary Adenoma - Pituitary Neuroendocrine Neoplasm | Plurihormonal | 9A2 PA, fib bodies (Case 9) H&E 7 copy.jpg
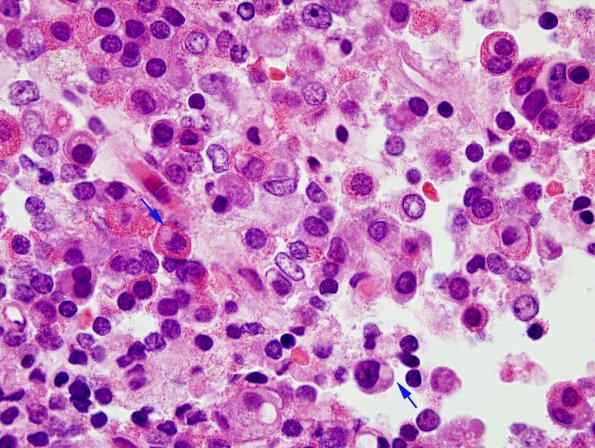
Sections of the pituitary tumor show sheets of amphophilic and eosinophilic cells without normal acinic architecture, confirmed by reticulin stain. ---- 9A2,3 These high magnification images show scattered cytoplasmic inclusions (arrows, 9A2)
