Table of Contents
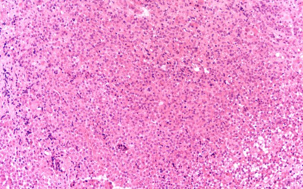
Washington University Experience | NEOPLASM (SELLAR) | Pituitary Adenoma - Pituitary Neuroendocrine Neoplasm | Somatotroph | 2A1 Pituitary adenoma GH FB (Case 2) H&E 20X
The transcription factor Pit-1 shows marked nuclear staining in the tumor cells supportive for a tumor expressing GH (and prolactin) in in this patient. (Pit-1 IHC) ---- Not shown: The tumor is negative for FSH, LH. TSH, and ACTH. The Ki-67 proliferation index was 1%. Additional send out test for transcription factors show: SF-1 is interpreted negative in the tumor (only weak staining). ---- Comment: The morphological features are consistent with pituitary adenoma and the immunoreactivity to GH and PIT-1 is compelling for a somatotroph subtype of pituitary adenoma.
