Table of Contents
« prev
next »
Washington University Experience
|
NEOPLASM (SELLAR)
|
Pituitary Adenoma - Pituitary Neuroendocrine Neoplasm
|
Somatotroph
|
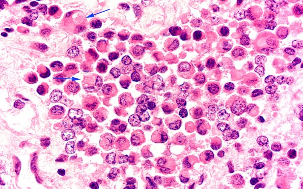
2A3 Pituitary adenoma GH FB (Case 2) H&E 100X A
Numerous fibrous bodies are present. (H&E)
Image Info
Camera Maker:
Olympus
Camera Model:
DP74
Shutter Speed:
21/1123 sec
Metering Mode:
Multi-Spot
Gallery RSS
|
Archive View
|
Login
|
Powered by
Zenphoto