Table of Contents
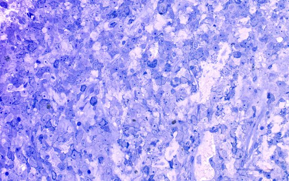
Washington University Experience | NEOPLASM (SELLAR) | Pituitary Adenoma - Pituitary Neuroendocrine Neoplasm | Somatotroph | 2E1 PA (Case 2) Plastic 40X 3
2E1-3 The one-micron thick toluidine blue stained plastic sections show variation in the granularity of individual tumor cells and scattered fibrous bodies.
