Table of Contents
Washington University Experience | NEOPLASM (SELLAR) | Pituitary Adenoma - Pituitary Neuroendocrine Neoplasm | Somatotroph | 8D1 Adenoma, GH (Case 8) CAM5.2 20X 1
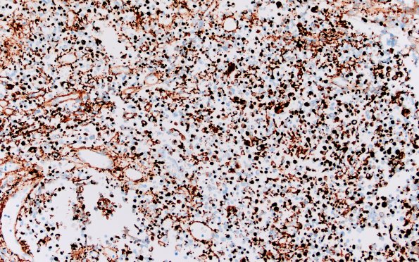
8D1-4 There are numerous fibrous bodies of various sizes. (CAM5.2 IHC)
