Table of Contents
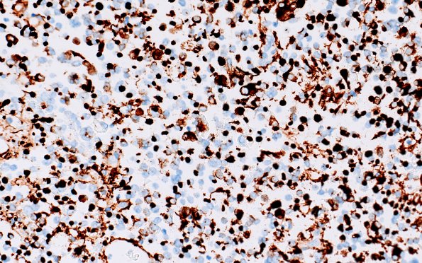
Washington University Experience | NEOPLASM (SELLAR) | Pituitary Adenoma - Pituitary Neuroendocrine Neoplasm | Somatotroph | 8D2 Adenoma, GH (Case 8) CAM5.2 40X 1
There are numerous fibrous bodies of various sizes. (CAM5.2 IHC)
