Table of Contents
« prev
next »
Washington University Experience
|
NEOPLASM (SELLAR)
|
Pituitary Adenoma - Pituitary Neuroendocrine Neoplasm
|
Somatotroph
|
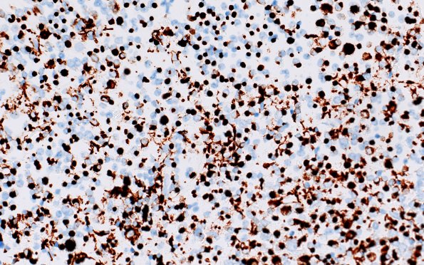
8D3 Adenoma, GH (Case 8) CAM5.2 40X
There are numerous fibrous bodies of various sizes. (CAM5.2 IHC)
Image Info
Camera Maker:
Olympus
Camera Model:
DP74
Shutter Speed:
31/8094 sec
Metering Mode:
Multi-Spot
Gallery RSS
|
Archive View
|
Login
|
Powered by
Zenphoto