Table of Contents
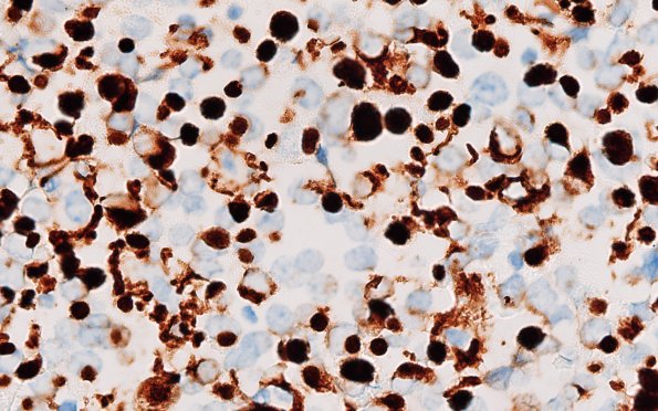
Washington University Experience | NEOPLASM (SELLAR) | Pituitary Adenoma - Pituitary Neuroendocrine Neoplasm | Somatotroph | 8D4 Adenoma, GH (Case 8) CAM5.2 100X 1
There are numerous fibrous bodies of various sizes. (CAM5.2 IHC) ---- Not shown: Scattered tumor cells are immunoreactive for prolactin. They are negative for ACTH, FSH, TSH and LH. The tumor exhibits a Ki-67 proliferation index up to 0.4%.
