Table of Contents
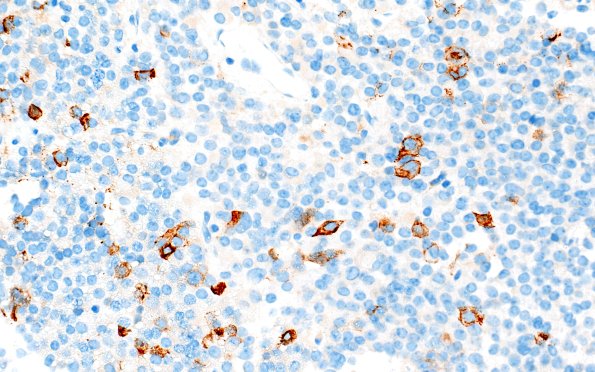
Washington University Experience | NEOPLASM (SELLAR) | Pituitary Adenoma - Pituitary Neuroendocrine Neoplasm | Somatotroph | 8E Adenoma, GH (Case 8) Prolactin 40X
There is a second smaller subpopulation of prolactin immunoreactive cells in the adenoma. (PRL IHC)
