Table of Contents
« prev
Washington University Experience
|
NEOPLASM (SELLAR)
|
Pituitary Adenoma - Pituitary Neuroendocrine Neoplasm
|
Somatotroph
|
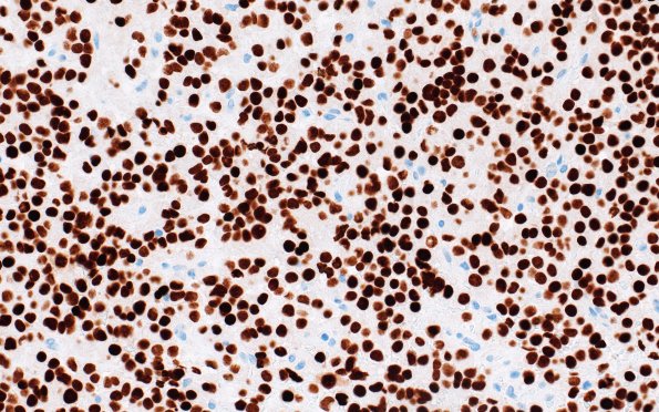
8F2 Adenoma, GH (Case 8) Pit-1 40X
Higher magnification of image #8E1. (Pit-1 IHC)
Image Info
Camera Maker:
Olympus
Camera Model:
DP74
Shutter Speed:
3/616 sec
Metering Mode:
Multi-Spot
Gallery RSS
|
Archive View
|
Login
|
Powered by
Zenphoto