Table of Contents
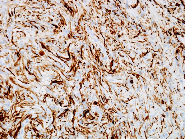
Washington University Experience | NEOPLASM (SELLAR) | TTF-1-positive sellar tumor - Pituicytoma | 2C3 Pituicytoma (Case 2) GFAP 4.jpg
There is significant GFAP immunoreactivity, although it is patchy and fails to stain some subpopulations of tumor. (GFAP IHC)
