Table of Contents
« prev
next »
Washington University Experience
|
NEOPLASM (SELLAR)
|
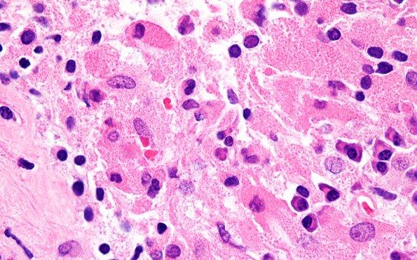
TTF-1-positive sellar tumor - Pituicytoma
|
3B6 TTF1 Pituicytoma (Case 3) H&E 100X 1
Higher magnification images showing granular tumor cells and inflammation (H&E)
Image Info
Camera Maker:
Olympus
Camera Model:
DP74
Shutter Speed:
11/412 sec
Metering Mode:
Multi-Spot
Gallery RSS
|
Archive View
|
Login
|
Powered by
Zenphoto