Table of Contents
« prev
next »
Washington University Experience
|
NEOPLASM (SELLAR)
|
TTF-1-positive sellar tumor - Spindle cell oncocytoma (SCO)
|
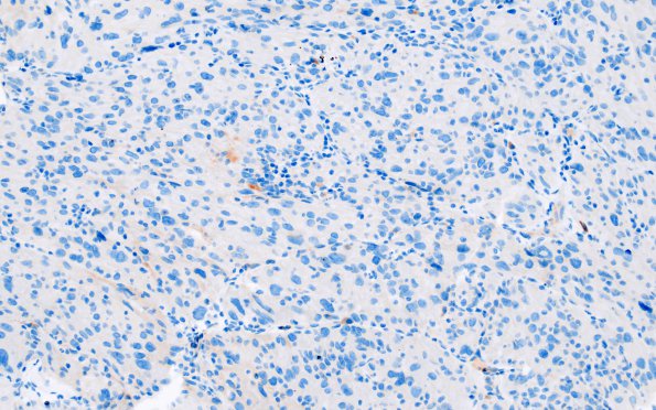
1E1 Spindle cell Oncocytoma (Case 1) GFAP 1
1E1,2 GFAP is negative in the tumor cells.
Image Info
Camera Maker:
Olympus
Camera Model:
DP74 #1
Shutter Speed:
23/20354 sec
Metering Mode:
Average
Gallery RSS
|
Archive View
|
Login
|
Powered by
Zenphoto