Table of Contents
Washington University Experience | NEOPLASM (SELLAR) | TTF-1-positive sellar tumor - Spindle cell oncocytoma (SCO) | 4A1 Spindle cell oncocytoma (Case 4) FLAIR - Copy
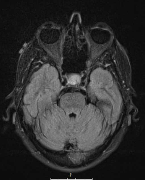
Case 4 History ---- The patient is a 57 year old woman with a sellar mass which has been treated conservatively for the last several years. Repeated MRI showed a slow increase in size. Radiological impression: Pituitary macroadenoma. Operative procedure: Transsphenoidal resection of pituitary tumor. ---- 4A1 MRI shows a T2/FLAIR hyperintense, homogeneously enhancing 1.2 x 1.3 x 1.3 cm mass centered within the left aspect of the sella with a signal that is indistinguishable from the pituitary gland. The mass displaces the pituitary infundibulum to the right and shows minimal extension into the left cavernous sinus.
