Table of Contents
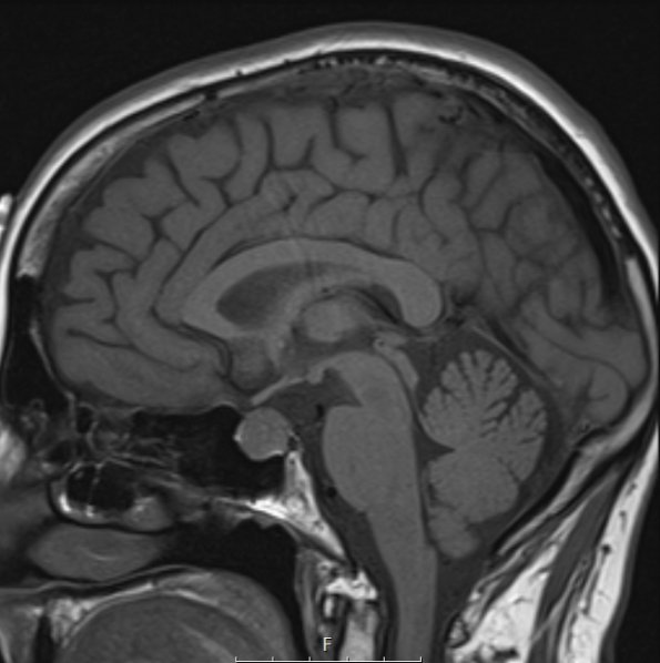
Washington University Experience | NEOPLASM (SELLAR) | TTF-1-positive sellar tumor - Spindle cell oncocytoma (SCO) | 4A3C Spindle cell oncocytoma (Case 4) T1 - Copy
4A3C The location of the T1-weightted tumor is shown in sagittal section.
