Table of Contents
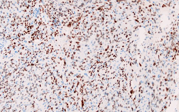
Washington University Experience | NEOPLASM (SELLAR) | TTF-1-positive sellar tumor - Spindle cell oncocytoma (SCO) | 5B2 Spindle cell oncocytoma-pituicytoma DDX (Case 5) TTF1 1
Immunohistochemistry shows strong positivity for TTF1. (TTF1 IHC).
