Table of Contents
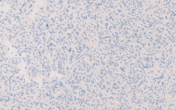
Washington University Experience | NEOPLASM (SELLAR) | TTF-1-positive sellar tumor - Spindle cell oncocytoma (SCO) | 5C Spindle cell oncocytoma-pituicytoma DDX (Case 5) GFAP 1
Tumor cells are not GFAP immunoreactive. (GFAP IHC) ---- Not shown: Tumor cells are negative for HMB-45, synaptophysin, EMA, and CAM 5.2. Ki-67 (MIB-1 antibody) shows a proliferation index up to 4.4%. A compressed normal adenohypophysis is highlighted by synaptophysin and CAM 5.2. Periodic acid Schiff (PAS) does not strongly stain the cytoplasm of tumor cells. ---- Taken together, these findings are most consistent with a diagnosis of TTF-1-positive sellar tumor. Tumors of the posterior pituitary comprise three diagnostic entities (pituicytoma, spindle cell oncocytoma, and granular cell tumor of the sellar region) which share a common molecular signature: TTF-1 immunoreactivity. Given this fact, it has been suggested that these three entities represent a morphological spectrum of a single nosological entity
