Table of Contents
« prev
next »
Washington University Experience
|
NEOPLASMS - CRANIAL AND PARASPINAL NERVEs
|
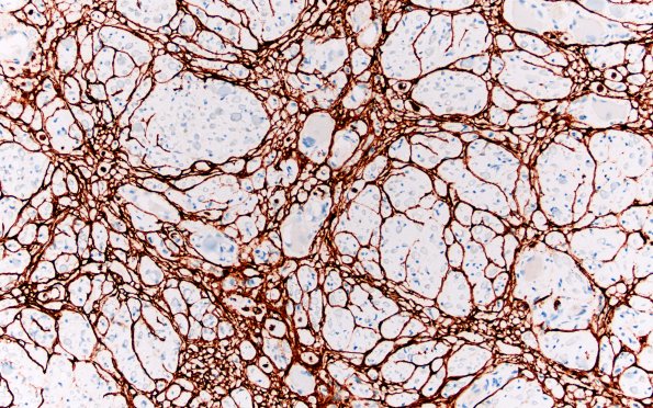
Perineurioma, Intraneural
|
16C2 Bilat (Case 16) A1 GLUT1 20X 2
Strongly positive GLUT1 processes in the interior aspect of the DRG (GLUT1 IHC)
Image Info
Camera Maker:
Olympus
Camera Model:
DP74
Shutter Speed:
3/3125 sec
Metering Mode:
Multi-Spot
Gallery RSS
|
Archive View
|
Login
|
Powered by
Zenphoto