Table of Contents
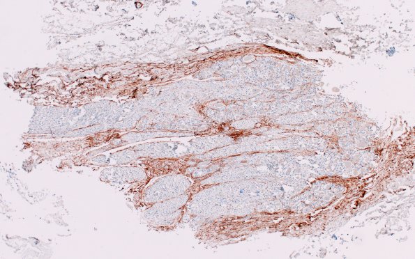
Washington University Experience | NEOPLASMS - CRANIAL AND PARASPINAL NERVEs | Perineurioma, Intraneural | 17B1 (Case 17) control DRG EMA 4X
17B1,2 The immunohistochemical EMA pattern in this autopsy DRG. The fascicular patterns result in apparent proliferation of EMA immunoreactive elements which reflect the seams within the ganglion and which likely explain the unusual appearance of case 16 involving the DRG rather than the presence of an actual intraneural perineurioma (EMA IHC).
