Table of Contents
Washington University Experience | NEOPLASMS - CRANIAL AND PARASPINAL NERVEs | Perineurioma, Intraneural | 2A1 Perineurioma (Case 2) H&E 3.jpg
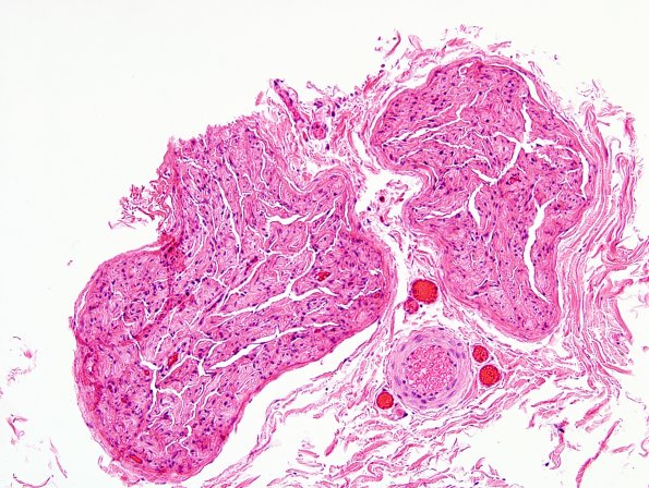
2A1,2 Routine H&E demonstrates cellular endoneurial contents rich in proliferated spindled cells with scattered pseudo-onion bulbs (H&E).
