Table of Contents
Washington University Experience | NEOPLASMS - CRANIAL AND PARASPINAL NERVEs | Perineurioma, Intraneural | 2E3 Perineurioma (Case 2) Plastic 2.jpg
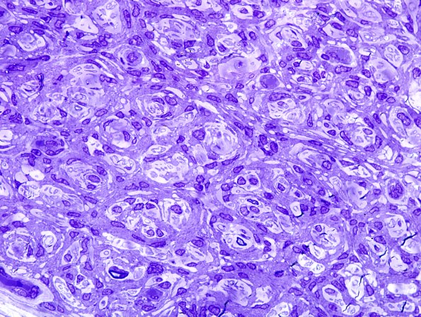
Only scattered, thinly myelinated axons of small caliber remain. Numerous thick walled concentric whorls mimic onion bulbs but have thicker processes.
