Table of Contents
Washington University Experience | NEOPLASMS - CRANIAL AND PARASPINAL NERVEs | Perineurioma, Intraneural | 2F6 Perineurioma (Case 2) EM 032 - Copy
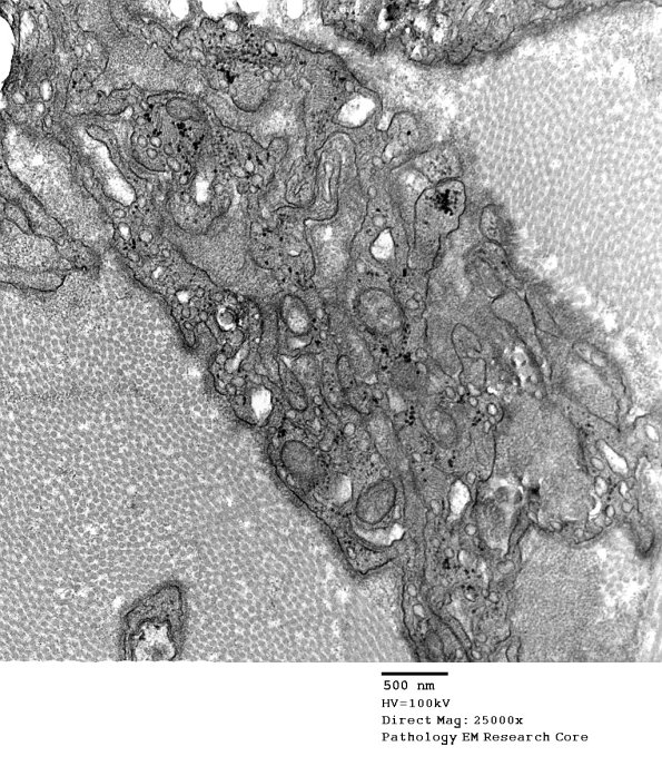
Higher magnification of the prominent perineurial processes. (electron micrograph)
