Table of Contents
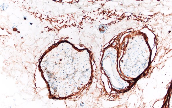
Washington University Experience | NEOPLASMS - CRANIAL AND PARASPINAL NERVEs | Perineurioma, Intraneural | 3D1 Half & Half Fascicle (Case 3) GLUT1 20X normal
This is the margin of the specimen with mostly normal endoneurial appearance stained for GLUT 1, which marks the perineurium. (GLUT1 IHC)
