Table of Contents
Washington University Experience | NEOPLASMS - CRANIAL AND PARASPINAL NERVEs | Perineurioma, Intraneural | 4F10 Perineurioma (Case 4) EM 041 - Copy
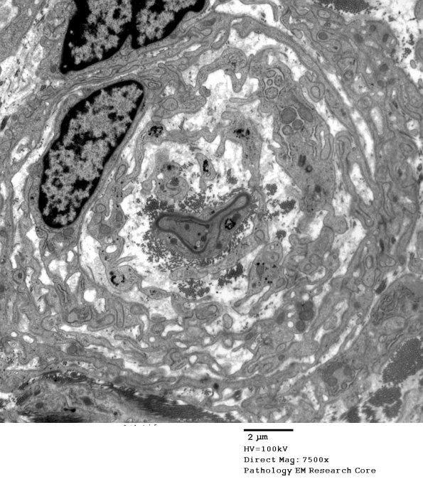
4F10,11 An axon with a thin myelin sheath is surrounded by perineurial cells. (electron micrograph)
