Table of Contents
« prev
next »
Washington University Experience
|
NEOPLASMS - CRANIAL AND PARASPINAL NERVEs
|
Perineurioma, Intraneural
|
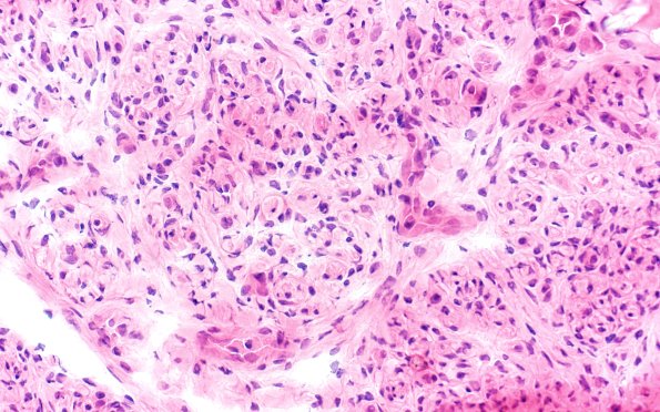
5A3 Perineurioma (Case 5) h&e 40X
Higher magnification showing spindled cells and pseudo-onion bulbs (H&E)
Image Info
Camera Maker:
Olympus
Camera Model:
DP74
Shutter Speed:
37/2517 sec
Metering Mode:
Multi-Spot
Gallery RSS
|
Archive View
|
Login
|
Powered by
Zenphoto