Table of Contents
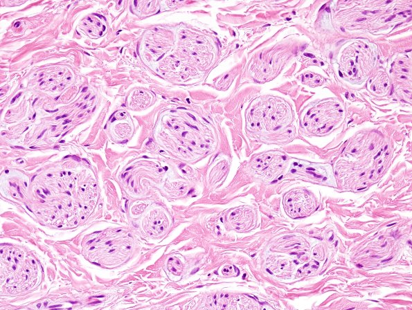
Washington University Experience | NEOPLASMS - CRANIAL AND PARASPINAL NERVEs | Perineurioma, Intraneural | 7C3 Perineurioma (Case 7) H&E neuroma area 5
Higher magnification of the neuroma shows that the constituent elements do not resemble the pseudo-onion bulbs of the tumor, suggesting they are reactive elements not tumor(?).
