Table of Contents
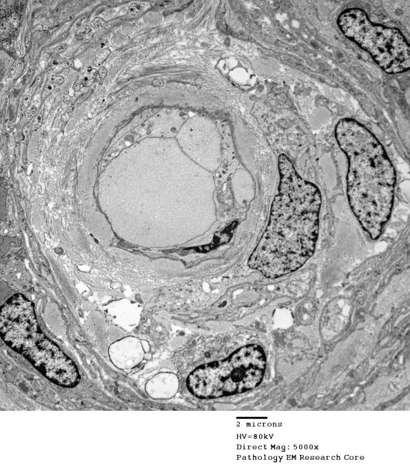
Washington University Experience | NEOPLASMS - CRANIAL AND PARASPINAL NERVEs | Perineurioma, Intraneural | 7I4 Perineurioma (Case 7) EM 020 - Copy (2)
The central structure consists of Schwann cells and collagen. (electron micrograph)
