Table of Contents



Washington University Experience | NEOPLASMS - CRANIAL AND PARASPINAL NERVEs | Perineurioma, Intraneural | 9H3 Perineurioma (Case 9) EM 027 - Copy

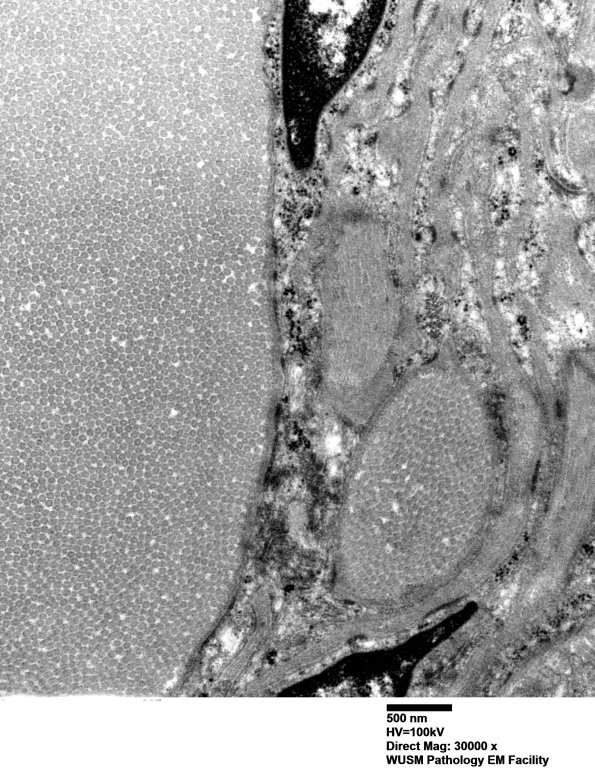
9H3 Perineurioma (Case 9) EM 027 - Copy
Close up image of large collections of collagen (electron micrograph)


Gallery RSS RSS Feed | Archive View | Login | Powered by Zenphoto