Table of Contents
Washington University Experience | NEOPLASMS - CRANIAL AND PARASPINAL NERVEs | Schwannoma | 21B4 Schwannoma, 12yo girl (Case 21) H&E 5.jpg
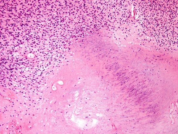
Evolving infarct-like necrosis is multifocal but does not preferentially occur in hypercellular regions, as might be seen in malignant necrosis. Tumor cytology is low-grade and mitotic activity is rare.
