Table of Contents



Washington University Experience | NEOPLASMS - CRANIAL AND PARASPINAL NERVEs | Schwannoma | 22A3 Schwannoma, intraneural (Case 22) H&E 4

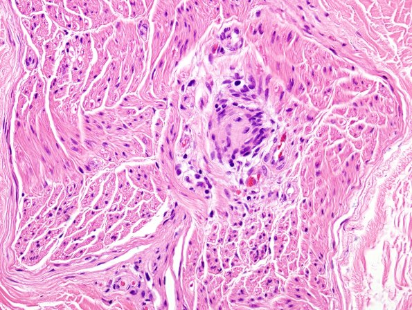
22A3 Schwannoma, intraneural (Case 22) H&E 4
Multiple schwannomas within the endoneurium of spinal roots. (H&E)


Gallery RSS RSS Feed | Archive View | Login | Powered by Zenphoto