Table of Contents



Washington University Experience | NEOPLASMS - CRANIAL AND PARASPINAL NERVEs | Schwannoma | 23D Schwannoma, melanotic (Case 23) Melan-A 1

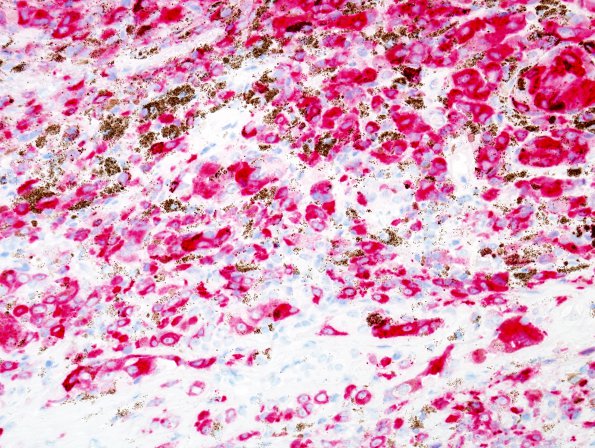
23D Schwannoma, melanotic (Case 23) Melan-A 1
Melan-A (red) strongly stains tumor cells.


Gallery RSS RSS Feed | Archive View | Login | Powered by Zenphoto