Table of Contents
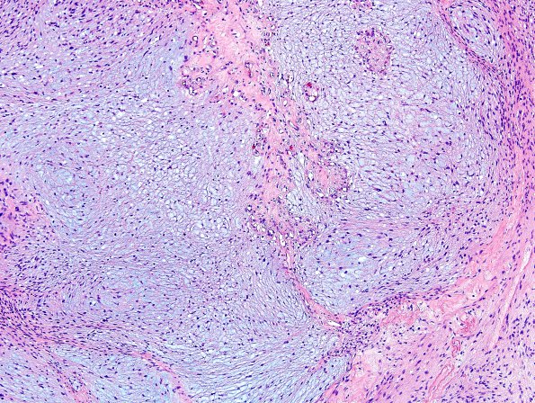
Washington University Experience | NEOPLASMS - CRANIAL AND PARASPINAL NERVEs | Schwannoma | 24A4 Schwannoma, myxoid (Case 24) H&E 2.jpg
The neoplasm contains areas of myxoid change. The neoplastic cells have predominantly elongated ovoid nuclei and a 'stretched' appearance. In addition cells with large plump nuclei with irregular nuclear contours are also present, consistent with so-called ancient (degenerative) change. Mitoses are rare (<1/10HPF). The neoplasm contains focal areas with well-defined Verocay body formation.
