Table of Contents
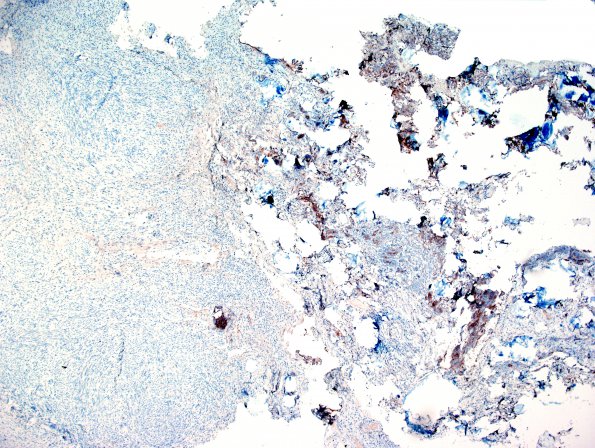
Washington University Experience | NEOPLASMS - CRANIAL AND PARASPINAL NERVEs | Schwannoma | 28E Schwannoma-Meningioma Collision (Case 28) EMA 4X.jpg
28E The other constituent of the collision tumor is composed of psammoma bodies surrounded by oval nuclei in syncytia forming whorls; some of the nuclei have intranuclear inclusions. These cells demonstrate patchy immunoreactivity to EMA and PR immunostains but the cells are negative for S100 (except for nonspecific immunoreactivity around psammoma bodies) and collagen IV. The Ki67 index in this area is <1%. The features are those of psammomatous meningioma, WHO grade I. The psammomatous area in 28A1 (arrowheads) is disrupted in this EMA immunostain, although small aggregates of tumor cells are EMA immunoreactive. Comment: As the two benign tumors, schwannoma and meningioma, are intermixed in some area, this neoplasm can be best characterized as a collision tumor.
