Table of Contents
Washington University Experience | NEOPLASMS - CRANIAL AND PARASPINAL NERVEs | Schwannoma | 30B1 Schwannoma (Case 30) H&E 2X B
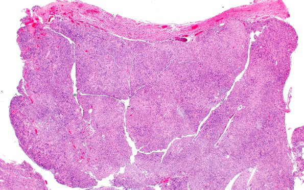
30B1,2 H&E-stained sections show a benign spindle cell neoplasm with hypercellular areas containing numerous Verocay bodies, and hypocellular areas with variable numbers of foamy macrophages. The tumor abuts but does not invade the adjacent nerve with Scarpa’s ganglion, the ganglion of the vestibular branch of the vestibulocochlear nerve. Tumor nuclei are short spindled to wavy and demonstrate focal degenerative atypia ("ancient" change). Mitotic activity is rare. There are scattered hyalinized thickening of blood vessels and foci of chronic lymphocytic infiltrate. (H&E)
