Table of Contents
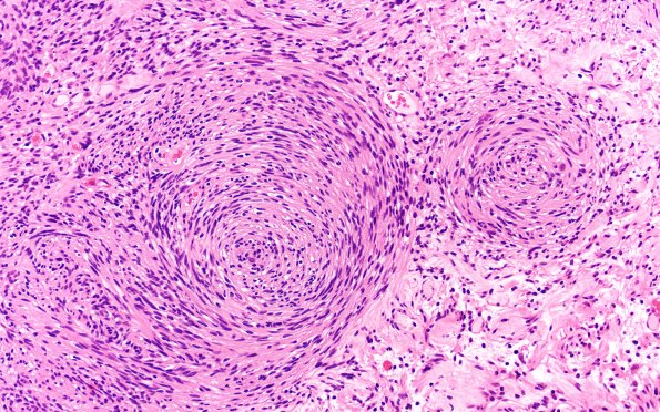
Washington University Experience | NEOPLASMS - CRANIAL AND PARASPINAL NERVEs | Schwannoma | 31A3 Schwannoma, whorled NF2 (Case 31) H&E 20X
H&E-stained sections show a well-circumscribed cellular, spindle cell tumor with large lobular whorl formation, thick-walled vessels, lobular whorls, and cystic spaces with pseudo-epithelial lining. (H&E)
