Table of Contents
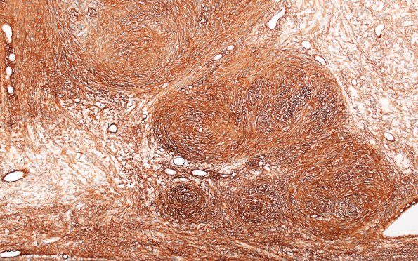
Washington University Experience | NEOPLASMS - CRANIAL AND PARASPINAL NERVEs | Schwannoma | 31D2 Schwannoma, whorled NF2 (Case 31) CollIV 10X
3 The basement membrane of this tumor is strongly stained for collagen IV. (Coll IV IHC)
