Table of Contents
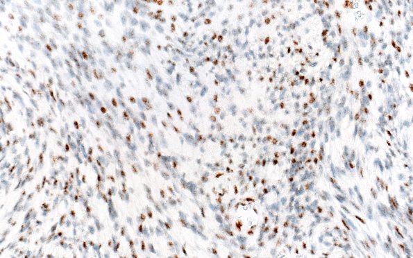
Washington University Experience | NEOPLASMS - CRANIAL AND PARASPINAL NERVEs | Schwannoma | 31E2 Schwannoma, whorled NF2 (Case 31) INI1 40X
This tumor shows a mosaic pattern of ~40% of INI1/SMARCB1-positive nuclear expression. NF2-associated non-vestibular schwannomas often show a mosaic pattern. (PMID: 28365909)
