Table of Contents
Washington University Experience | NEOPLASMS - CRANIAL AND PARASPINAL NERVEs | Schwannoma | 32A1 Schwannoma (Case 32) SGA STIR noC - Copy
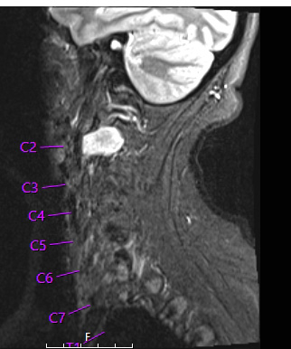
Case 32 History ---- The patient is a 46 year old woman with a C2 nerve tumor. Operative procedure: Right C2 nerve tumor resection. ---- 32A1 STIR scan demonstrates a hyperintense mass at the C2 cord level.
