Table of Contents
« prev
next »
Washington University Experience
|
NEOPLASMS - CRANIAL AND PARASPINAL NERVEs
|
Schwannoma
|
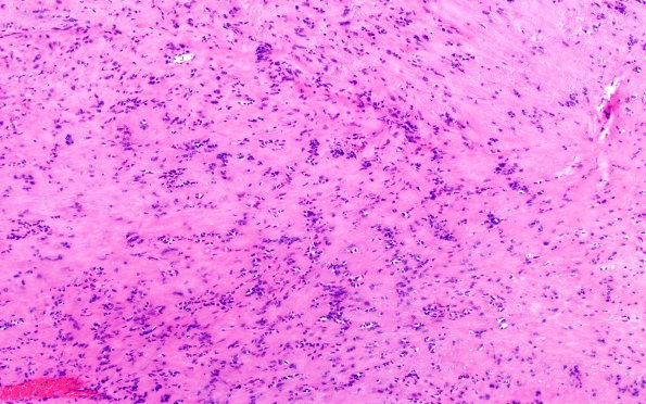
32B5 Schwannoma (Case 32) H&E 10X 3
These palisaded nuclei represent Verocay bodies. (H&E)
Image Info
Camera Maker:
Olympus
Camera Model:
DP74
Shutter Speed:
20/28169 sec
Metering Mode:
Multi-Spot
Gallery RSS
|
Archive View
|
Login
|
Powered by
Zenphoto