Table of Contents
« prev
next »
Washington University Experience
|
NEOPLASMS - CRANIAL AND PARASPINAL NERVEs
|
Schwannoma
|
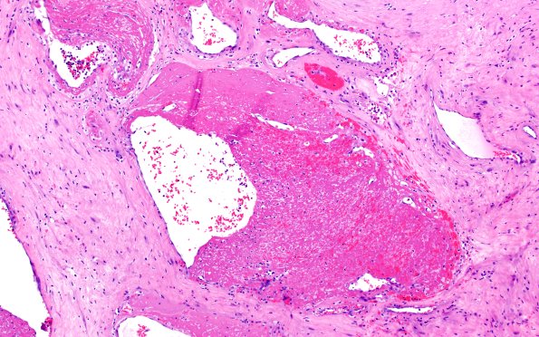
32B6 Schwannoma (Case 32) H&E 10X 2
This image shows fibrin deposition associated with tumor vasculature. (H&E)
Image Info
Camera Maker:
Olympus
Camera Model:
DP74
Shutter Speed:
33/50000 sec
Metering Mode:
Multi-Spot
Gallery RSS
|
Archive View
|
Login
|
Powered by
Zenphoto