Table of Contents
Washington University Experience | NEOPLASMS - CRANIAL AND PARASPINAL NERVEs | Schwannoma | 32E3 Schwannoma (Case 32) NF 20X
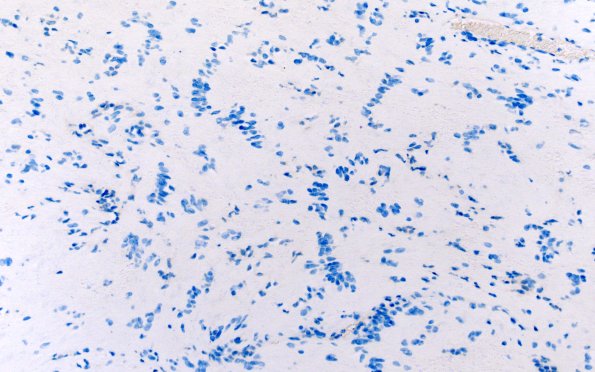
There are no axons within the tumor as shown in this higher magnification image of Verocay bodies. (NF IHC)
