Table of Contents
« prev
next »
Washington University Experience
|
NEOPLASMS - CRANIAL AND PARASPINAL NERVEs
|
Schwannoma
|
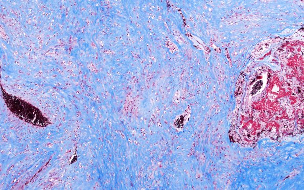
32F3 Schwannoma (Case 32) TRI 10X 2
The tumor parenchyma is collagen rich. (Trichrome)
Image Info
Camera Maker:
Olympus
Camera Model:
DP74
Shutter Speed:
29/47541 sec
Metering Mode:
Multi-Spot
Gallery RSS
|
Archive View
|
Login
|
Powered by
Zenphoto