Table of Contents
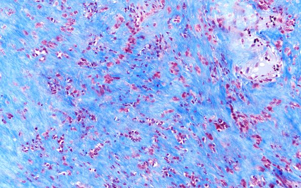
Washington University Experience | NEOPLASMS - CRANIAL AND PARASPINAL NERVEs | Schwannoma | 32F4 Schwannoma (Case 32) TRI 20X 2
32F4,5 These Verocay bodies appear to be collagen stained; however, the collagen is actually deposited between Schwann cell processes composing the Verocay bodies. (Trichrome)
