Table of Contents
Washington University Experience | NEOPLASMS - CRANIAL AND PARASPINAL NERVEs | Schwannoma | 32F5 Schwannoma (Case 32) TRI 40X 2
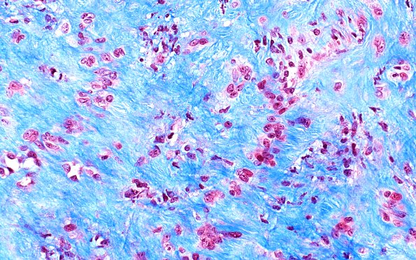
These Verocay bodies appear to be collagen stained; however, the collagen is actually deposited between Schwann cell processes composing the Verocay bodies. (Trichrome)
